L’accident vasculaire cérébral (AVC) chez l’enfant est une pathologie rare, avec environ 500 à 1000 cas annuels en France. Les AVC pédiatriques se répartissent équitablement entre AVC ischémiques, dus à l’obstruction d’une artère, et AVC hémorragiques, causés par la rupture d’une artère.
Présentation du cas
Sarah, âgée de 4 ans. Pas d’antécédents. A eu la varicelle il y a trois mois avec une bonne récupération.
En jouant, Sarah a présenté soudainement une boiterie de la jambe gauche, qui disparaît en quelques minutes. Ces épisodes récidivent dans la journée accompagnés de chutes, incitant sa mère à consulter les urgences. Sarah n’a ni fièvre ni douleur.
Examens :
* Scanner cérébral : Normal
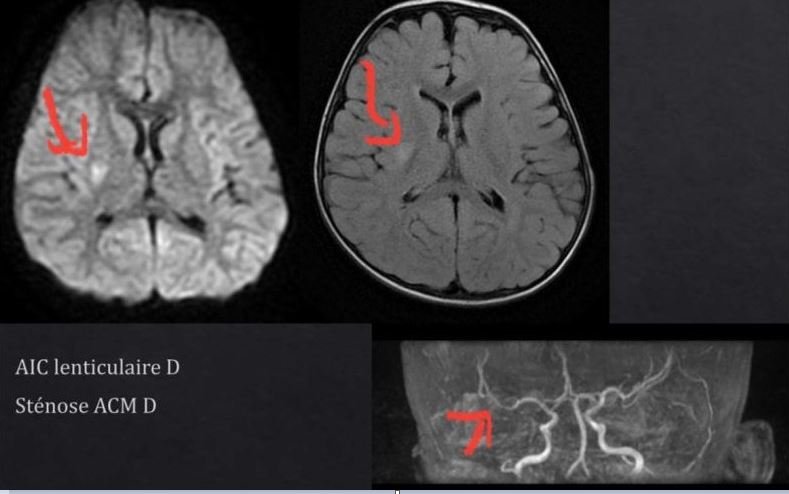
* IRM cérébrale : Détection d’un AVC ischémique profond droit
Messages clés
1. Réagir à l’apparition soudaine des symptômes : Il est crucial de considérer l’AVC chez un enfant lorsque des symptômes neurologiques soudains apparaissent.
2. Fluctuation des symptômes : Les symptômes peuvent fluctuer fréquemment sur une période de 24 heures.
3. Céphalées fréquentes ++
4. Importance de l’IRM cérébrale
5. Prise en charge pluridisciplinaire : La gestion de l’AVC pédiatrique nécessite une discussion avec un centre référent en neurologie vasculaire voire un centre national de référence de l’AVC de l’enfant.
Dans le cas de Sarah, l’AVC a été attribué à une artériopathie (atteinte des artères secondaire à l’infection par la varicelle). L’artériopathie est la cause la plus fréquente d’infarctus cérébral de l’enfant.
Les AVC chez les enfants, bien que rares, nécessitent une vigilance particulière en raison de la fluctuation initiale des symptômes. L’apparition soudaine doit alerter.
Lien vers l’article pour approfondir sur le sujet: https://pubmed.ncbi.nlm.nih.gov/34039030/
AVC chez l’enfant : À travers le cas de Sarah
