Flash info AVC et innovation : Résultats Prometteurs de l’Étude LASTE dans l’Infarctus Cérébral ! 🧠

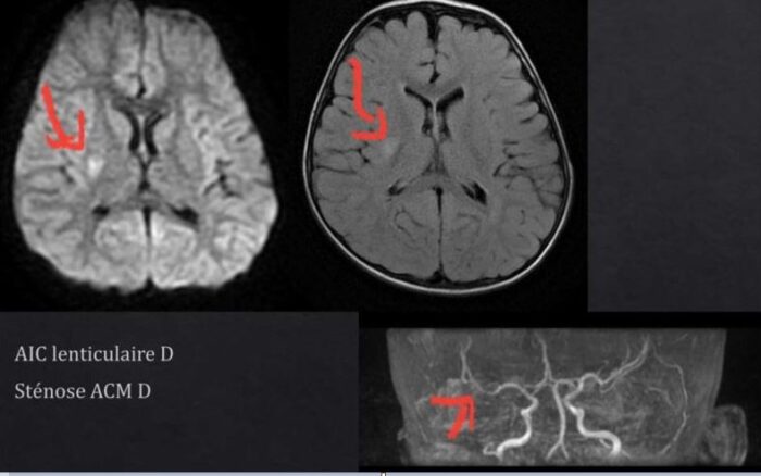
L’AVC ischémique (Infarctus cérébral), représente 85 % des AVC. Il est causé par un caillot qui bouche une artère. Le traitement consiste à déboucher cette artère via une perfusion dans les veines (thrombolyse intraveineuse) ou une thrombectomie, où l’on retire directement le caillot du cerveau.
Time is brain : comprendre le concept !

Le temps c’est du cerveau n’est pas qu’un concept! Un accident vasculaire cérébral (AVC) est une urgence médicale où chaque minute compte. Chaque minute qui passe entraîne la perte de 4 millions de neurones, soulignant l’importance d’une intervention rapide.
Des lumières plein les yeux : faire la différence entre migraine et AVC ?

Docteur, je fais des accidents ischémiques transitoires depuis des années et aujourd’hui je décide de voir un neurologue après avoir fait mon bilan cardiaque, mise sous kardegic, mais ça revient. J’ai des zigzag avec des flash lumineux qui traverse mon champ visuel qui dure a chaque fois 15 minutes avec parfois un flou sur le coté. Parfois avec des maux de tête. Qu’est ce que c’est ?
AVC chez l’enfant : À travers le cas de Sarah

L’accident vasculaire cérébral (AVC) chez l’enfant est une pathologie rare, avec environ 500 à 1000 cas annuels en France. Les AVC pédiatriques se répartissent équitablement entre AVC ischémiques, dus à l’obstruction d’une artère, et AVC hémorragiques, causés par la rupture d’une artère.
L’effet de l’argent sur le cerveau!

L’argent, dans notre société actuelle, est considère, entre être un simple moyen et une quête en soi. Notre perception et notre utilisation de l’argent peuvent révéler beaucoup sur notre psychologie et nos valeurs intrinsèques.
Mais comment le cerveau réagit-il face au don de l’argent ?
Vaut mieux être seul que mal accompagné : Est ce vrai dans l’AVC?

Dans un monde hyperconnecté, l’isolement social semble être un paradoxe de notre époque. Pourtant, son impact sur notre santé cérébrale…
Conseils pratiques pour une bonne automesure tensionnelle : Comment faire ?

L’hypertension artérielle est un ennemi silencieux et le principal facteur de risque d’accident vasculaire cérébral (AVC). Mais comment la dépister…
Journée internationale de l’épilepsie 2024 : Un Aperçu Historique et des Objectifs

La Journée internationale de l’épilepsie, observée pour la première fois en 2015, est le fruit d’une collaboration entre l’International Bureau for Epilepsy (IBE) et l’International League Against Epilepsy (ILAE). Ces organisations ont uni leurs forces pour faire reconnaître à l’échelle mondiale les défis vécus par les personnes atteintes d’épilepsie.
Doccure – Making your clinic painless visit?

Explore the benefits & challenges of virtual healthcare appointments, along with tips for making good health.
Benefits of Consulting With an Online Doctor

Uncover strategies to achieve a harmonious balance between professional and personal well-being.